Anti-Melanoma Drug Screening
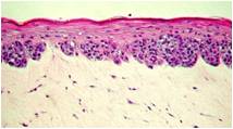
The MLNM-FT-A375 model consists of human malignant melanoma cells (A375), normal, human-derived epidermal keratinocytes (NHEK) and normal, human-derived dermal fibroblasts (NHDF) which have been cultured to form a multilayered, highly differentiated epidermis with melanoma cells at various stages of CM malignancy. At different stages of the culture, the tissue exhibits radial growth phase (RGP), vertical growth phase (VGP), or metastatic melanoma phenotype. The cells are cultured on cell culture inserts using serum free medium, and attain levels of differentiation on the cutting edge of in vitro skin technology. Structurally, the MLNM-FT-A375 model closely parallels the progression of melanoma in vivo, thus providing a valuable tool to study, understand, and develop preventative and therapeutic treatments for one of the most serious cutaneous malignancies. For more information on the Melanoma model, click here.
Technical References

Request a Quote
Thank you for requesting information about Mattek products! A representative will contact you shortly.
**If you would like to place an order for Mattek products, please contact Customer Service**